1 真的需要做个理性的决定吗?
1982年,一位名叫艾略特的病人,走进南加州大学神经学家达马西奥(Antonio Damasio)的办公室。他遇到一个重大的心理难题:无法做决定。
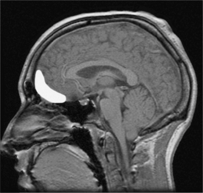
一切都从几个月前的一场外科手术开始——他从大脑皮质上摘除了一个小肿瘤。在那之前,他是一位好爸爸、好丈夫和优秀的管理者,但是这场手术改变了他的生活。他发现手术之后,他丢失了一项重要的能力——决策。
一些对于普通人来说鸡毛蒜皮的小事情,他却需要不断地斟酌才能做出决定,比如说用蓝笔还是用黑笔写字、选择看哪一个电视频道、选择哪一间吃饭的餐厅——他需要思考可能去的餐厅的菜单与菜价是否合理、停车位是否充裕、座位灯光如何,他甚至会开车到各间餐厅看看今天客人的上座率……你可以想象,等这一切完成,饭局早就毁了。他没法正常过日子。
你也许能够联想到生活中的某些人,但艾略特无法决策的状况远超那些你在生活中常遇的强迫症之人,而是直接进入了病态的程度。他的工作丢了,太太与他离婚,他自己也陷入破产边缘,只好搬回老家与父母同住。
达马西奥刚刚接手艾略特的案例时,以为病人是智商受损,但是检查后发现相当正常(超过97%的正常人),但在与他的沟通中,达马西奥却发现了一个重大的问题——他的情绪少得出奇。“他始终非常自控,总以不着感情、事不关己的旁观者的角度,来描述那些场景。让人丝毫感觉不到他所受的苦……我和他谈了好几个小时,都没有看到他露出丝毫感情。没有悲哀、不耐烦或者沮丧。”
为了证实这一判断,达马西奥在艾略特的手掌上连上电极,记录他手掌的汗腺活动(我们有情绪变化的时候,手掌的掌心会冒汗,造成电阻改变,这就是测谎仪的工作原理),然后给他展示各种照片——断肢、裸女、手枪、火灾现场,却看不到他任
何的情绪改变。
答案很明显,手术没有损害他的智商,却夺去了他体验情绪的能力。手术损害了一个叫“眶额皮层”(orbitofrontalcortex,OFC)的重要部位。该部位在眼睛的后方、大脑额叶的下面,如果你一根手指按住太阳穴,另一根手指指着眉心,指尖连线的交点就是。
这引起了达马西奥的好奇:如果无法体验情绪,按照通常的观点,这个人应该做出更加“理性”的决定,而不是无法做决定才对。决策难道不是理智的吗?达马西奥接着开始研究更多类似的OFC损伤案例,他发现这些人的共同点是:他们看起来非常“理智”,极其聪明,但都有一个共同的缺陷——无法体验到情绪!正是这个问题,这让他们难以做决定。
达马西奥的发现证明情感在决策中占据着重要的地位,而OFC正是负责把来自边缘系统的情绪信号传入大脑皮层、让情绪和理智融合的关键部位。“情感和情感的生物基础深深地卷入决策过程,他们有可能是积极的或消极的,但是常常是无意识的。”简单来说,好的决策包括理性与感性,如果你不去体验自己的感受,你永远无法做出一个决定。

这也可以解释为什么在做人生重大决策的时候,我们不仅需要讨论概率,还需要“追随我心”,因为情感不仅不是决策的障碍,反而是做决定的重要因素。我们的理智能够很容易地处理“到底是这个东西的性价比高还是那个的高?”,但是对“到底应该回家还是继续工作?”“应该折腾点还是安全点?”“应该顺势而为还是继续坚持?”这样的问题却无所适从——在一个多元价值观的系统中,你从任何一个方向背后都能找到无数的支持、论点与数据,但是哪一种决策会让你更加“做自己”?这时候,情感加入决策,力挺价值观支持的那个,也就是你所听到的“内心的声音”。
现在我们可以理解身边那些用收益率来分辨爱情、用概率来计算梦想、用价格来计算幸福的人了,他们面对人生的选择,就如大脑受损的病人一样,永远无法做决定。过度追求理智的决定,本身就是一种疾病。